



Mechanism of Injury
Tuft fractures are usually caused by a crush injury such as getting the finger caught in a door or dropping a heavy weight on the finger tip. Sometimes the nail or nail bed can also be injured.
Symptoms
Diagnosis
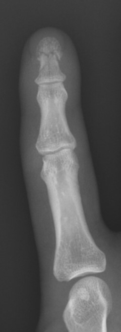
X-ray is required to confirm the diagnosis.

Photo source: Orthobullets
Referral
The referral should be made soon as the injury is diagnosed, preferably immediately post injury. Most tuft fractures are considered stable as the fracture is at the distal aspect of the bone, beyond where the tendons insert. If there is an open injury or wound, it is also recommended to refer the patient to a hand surgeon for review.
Management
Splinting
Finger Splint